Understanding Your VeriTooth Report
Knowing the difference between a good and bad root canal is challenging. But we’re trying to make it a bit easier for you. Your VeriTooth report provides a snapshot, comparing the x-rays your dentist provided against specific criteria as defined by the AAE (American Association of Endodontics).
The following article includes an introduction into how experts arrived at the findings of your report and what they were looking for.
Your Dental Work
Dentists are medical experts in their field, and we pay a lot of money for their knowledge, expertise, and experience. We don’t want to suggest that this is easy nor is it black-and-white. Dentistry involves years of practice and expert judgement.
However, x-rays are one great way to verify the quality of work a patient has received. Dental organizations (AAE and ADA) have defined the standards for good dental care. All dental care professionals learned these standards in years of training and education. Your VeriTooth report shines a light on a few key standards as a spot check.
The Standards
While dentistry is a great deal more than simple criteria, these are some standard ways dental work can be checked for quality. If these things were not done or done poorly it can lead to all kinds of future problems including infection, cracked teeth, tooth loss or even greater health risks.
Expert reviewers took the following standards into consideration when verifying your x-ray:
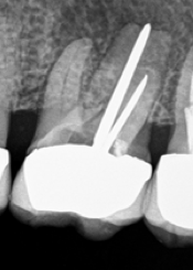
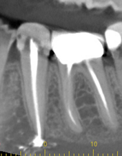
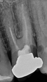
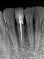
Root Canals
Rubber Dam used?
A Rubber Dam is considered the standard of care and should be used in all instances. It may be awkward, but this protects the area the doctor is working on and greatly reduces the potential for future infection.

Conservative access prep?
Has the dentist drilled the small hole needed, or a much bigger hole than is typically required? A bigger hole not only damages your tooth more, it also increases your risk of future problems.

All canals cleaned and shaped?
Did you know there is not a standard number of canals for each tooth? So finding all the canals can be a challenge. Did the dentist treat each of the canals of your tooth or did he/she miss one. Missing a canal can leave an opening for future infections and require another procedure in the future.

Canals cleaned and shaped to the apex?
The filling should go to the tip of your root. Not filling enough (under-fill) can leave space for harmful bacteria to grow. A filling that goes beyond the root tip (over-fill) can cause damage to the bone, sinus, or even nerve damage in severe cases. Over or under filling increases the chances that you'll need to have another procedure down the road.

Adequate root filling density?
The canals should be filled without leaving any spaces between the walls of the tooth. Spaces can leave room for bacteria and toxins that eventually cause an infection, often requiring another root canal.

Signs of perforation?
Dentists are human and sometimes make mistakes. We’re simply looking to see if the dentist drilled out the side of your tooth. Yep, it happens.

Sign of separated instrument?
Sometimes a dentist can break off a piece of the small drill bit or file in your tooth. These tools are very delicate and must be used with great care. Ideally the dentist will get the broken piece out. If it’s not possible to get it out, did the dentist at least tell you about this?

Not Enough Information?
With some items, the reviewer may have indicated the x-ray does not have enough information to confirm the specific criteria. This can be because a poor x-ray image was taken. It can also happen when the angle of the image makes it difficult to see some things. For example, an additional canal may be hidden behind one or the access opening can be hidden by the crown. In these cases an additional image may be needed. Some dental offices have more advanced machines that take a comprehensive 3D image to make sure nothing is missed.
What Next?
It's important to understand that your review is a comparison of the submitted x-rays against industry standards. If your report looks positive, then you now have an additional data point to help you appreciate the quality of work provided. If you’re report appears to show some issues, we recommend you start by discussing this with your dentist. He/She may know about your case beyond what your VeriTooth reviewer was able to see in the submitted x-rays. Dentists spend years perfecting their trade and care deeply about the quality of their work. In our conversations with dentists, most welcome the discussion and appreciate their patients taking an interest in quality work.